Radiología Dental Especializada
Centros radiológicos con tecnología de vanguardia para diagnósticos precisos. Radiografías panorámicas, CBCT y láminas de alta calidad.
Ver centros radiológicosCentros Radiológicos
Trabajamos con los mejores centros radiológicos de La Dehesa para brindarte diagnósticos de alta calidad.
Scanlab Imagenología Oral y Maxilofacial
Dirección:
Av. La Dehesa 440, oficina 306, Lo Barnechea
Teléfono:
+569 4029 9157
WhatsApp:
+569 4029 9157
Horarios:
Lunes a Viernes: 9:30 - 14:00 / 15:00 - 19:00 Sábados: 9:30 - 14:00
3D Imagen La Dehesa
Dirección:
Av. La Dehesa 1201, oficina 734, Lo Barnechea
Teléfono:
+562 2321 2101
WhatsApp:
+569 5443 2724
Horarios:
Lunes a Viernes: 9:00 - 19:00 Sábados: cerrado
Imax Radiología Estoril
Dirección:
Estoril 50, Of.703, Las Condes
Teléfono:
+562 2243 2181
WhatsApp:
+569 2855 5463
Horarios:
Lunes a Viernes: 9:00 - 19:00 Sábados: 9:00 - 13:00
Servicios Radiológicos
Tecnología de vanguardia para diagnósticos precisos y tratamientos efectivos.

Retroalveolar Total
Set de radiografías periapicales de maxilar superior e inferior
Click para ver en grande

Panorámica
Vista completa de maxilares y estructuras dentales
Click para ver en grande
Scanner CBCT (Cone Beam)
Tomografía computarizada de haz cónico, imagen 3D para diagnósticos y planificaciones precisas
Click para ver video completo

Bitewing
Evaluación de caries interproximales
Click para ver en grande

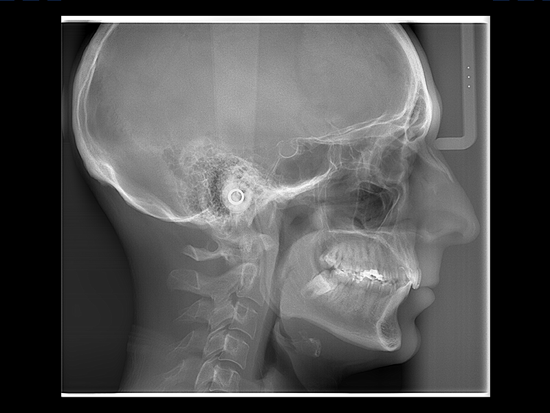
Telerradiografía Lateral
Análisis ortodóntico y facial
Click para ver en grande